今天是:

您现在的位置: 庆阳市人民医院 >> 医院新闻 >> 科室动态 >> 正文
科室动态

新技术 | 医学影像中心开展术前CT引导下肺结节穿刺定位技术 助力肺癌早诊早治

作者:熊力 来源:医学影像中心 点击数: 更新时间:2023/6/2 17:11:02

手术室里,众人翘首以待的“弹簧圈”清晰地出现在胸腔镜显示屏上,指引胸外科手术团队将该处肺部病变组织精准切除。这根“弹簧圈”正是庆阳市人民医院医学影像中心开展的新技术——CT引导下肺结节穿刺定位术。



CT引导下肺结节穿刺定位

 

一、CT引导下肺结节穿刺定位术用在哪?

肺癌是我国最常见的恶性肿瘤之一,死亡率高。绝大多数临床诊断为肺癌的病例多为晚期。因此,肺癌的早期筛查、早期诊断是降低肺癌死亡率的关键一环。

随着胸部CT检查的普及和技术进步,越来越多的肺结节、肺部磨玻璃样病变以及早期肺癌在体检中被发现,这些早期病变如果及时就医,可在胸腔镜下精准切除,预后良好。

但是肺深部磨玻璃结节由于病变小,大多直径不到1cm,在肺表面不易看到,也不易触摸到,导致术中病灶定位困难。由此,术前CT引导肺结节穿刺定位术可以大展身手。



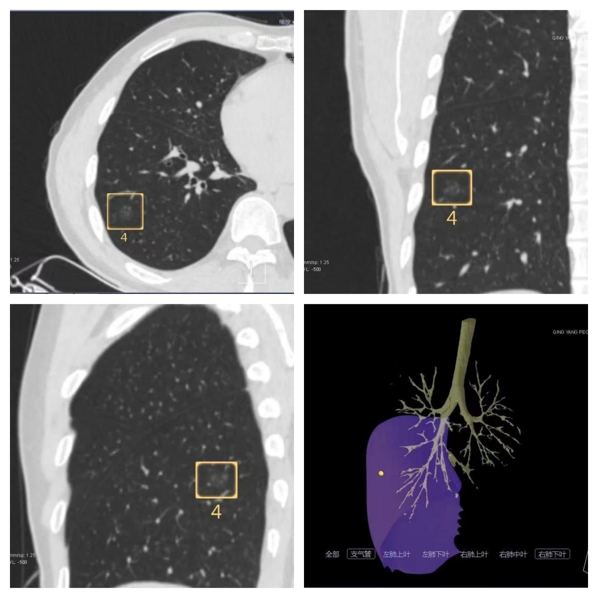
病例CT扫描,肺小结节病变三维重建

 

二、CT引导下肺结节穿刺定位术怎么实施?

在胸腔镜肺小结节手术前,由医学影像中心团队应用CT引导实施肺穿刺,推注标记物“弹簧圈”,将“弹簧圈”头端钩于肺小结节病灶处,尾端留于肺表面,进行辅助定位,以便外科医生在术中根据标记物范围实施肺小结节精准切除。



CT引导肺结节穿刺定位

 

CT引导下肺小结节术前辅助定位在临床使用中安全可靠、成功率高,可帮助临床医生在术中快速准确探寻结节位置、精准切除病灶、最大限度保护患者肺功能,降低中转开胸率及术后并发症,并给病理科医生提供精准的切片范围。

CT引导下肺微小结节精准定位,胸腔镜微创切除事半功倍。庆阳市人民医院开展肺占位穿刺活检术技术成熟,积累了大量经验,在此基础上,医学影像中心团队勇于创新,积极引进新技术,逐步开展多例术前肺结节穿刺定位术,取得了良好效果。

探索无止境,创新不止步。医学影像中心将继续和胸心外科、病理科等相关科室加强合作,不断前行,为广大患者提供更优质的医疗健康服务。