今天是:

您现在的位置: 庆阳市人民医院 >> 医院新闻 >> 科室动态 >> 正文
科室动态

影像学新利器——能谱CT知多少

作者:武建利 王龙 来源:医学影像中心 点击数: 更新时间:2023/6/5 15:34:09

近期,我院新采购一台超高端能谱CT,它被称为“革命型CT”、“CT界的航母”,可实现能谱、宽体、快速扫描、低辐射剂量和超清图像相融合。



能谱CT优势

扫描速度快,全身检查只需10秒钟;对于血管性疾病,可发现更细小的血管分支;不受心率、呼吸限制,一次心跳即可完成冠脉CT检查;噪音极小;单能量成像,更加准确的绝对CT值;低KeV成像,更高的组织对比度;多参数功能成像,可进行多种基物质浓度及有效原子序数测定。


六大工具及运用范围

1.单能量图像:能谱CT可提高图像质量,显示病灶内部特征,临床可用于所有血管检查及增强扫描。



2.物质定量和分离:实现定量分析,临床中常用的碘基物质图像可评估血管及强化程度。



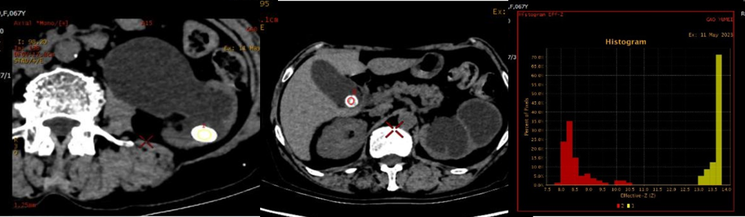
3.有效原子序数通过计算有效原子序数,可进行物质的检测、鉴别及分离,临床用于结石成分、痛风成分分析等。



4.能谱曲线:临床中可用于组织同源性检查、病灶的鉴别诊断、组织定性与定量、绘制曲线斜率等。



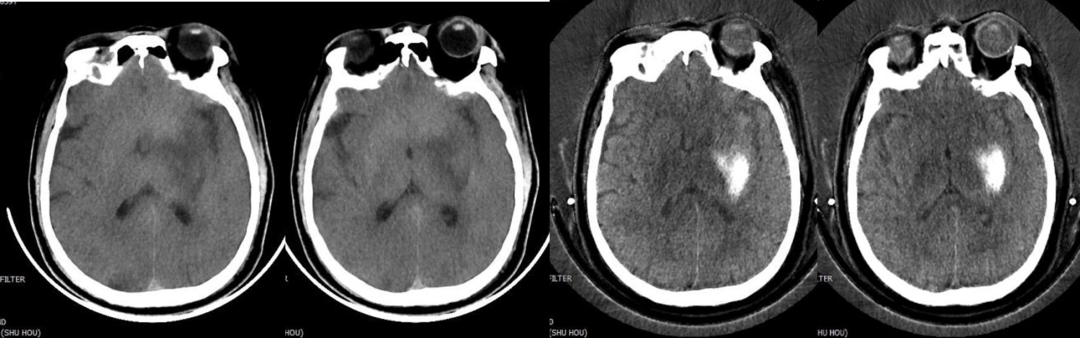
5.去金属伪影:能谱CT单能量成像结合MAR技术可在颅脑成像、颅内动脉瘤夹闭术后及骨关节金属植入术后复查中获得较好成像效果。



6.虚拟平扫:在增强扫描图像基础上,将除碘化组织外的所有组织均以其原始HU值表示,临床中可减少患者CT照射次数,降低辐射剂量。



新设备的投入使用,为精准诊疗提供了高质量技术支撑,我院医学影像中心着力加强工作统筹、细化亚专业分组、努力提升医疗影像诊断水平,为广大患者提供更加精准、舒适、快捷、安全的诊疗服务。