一例主动脉夹层瘤患者在我院治下转危为安
编者按:
主动脉夹层瘤是心血管系统的急危重症,是一种非常凶险的疾病,如果未能及时诊断治疗,随时可能发生夹层破裂出血死亡,病死率极高,被誉为超级杀手,号称距离“天堂”最近的疾病。
近日,我院心胸外科成功救治首例“主动脉夹层瘤”患者。
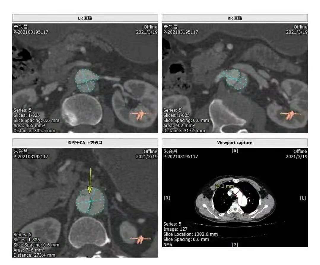
患者男性,67岁,因咳嗽、胸部不适就医,CT检查提示主动脉夹层(B型)、主动脉弓及腹主动脉硬化,局部形成钙化斑块,随以“主动脉夹层瘤”急诊收住。



时间就是生命,我院立即开辟绿色通道,以最快捷、最高效的就诊流程,积极完善术前准备,在局部麻醉下经腹股沟股动脉穿刺行“主动脉夹层腔内修复术”。西安交大一附院血管外科专家、主任医师冯骏教授亲临指导,手术顺利,破口封闭,血管真腔开通,整个手术过程历时约30分钟,患者生命体征稳定,术中、术后未诉不适;术后第二天,患者可下床活动;术后第三天,患者康复出院。

市人民医院利用介入微创技术,仅1cm的手术创口就成功完成了惊心动魄的主动脉夹层瘤救治; 小微创,大救治。
心胸外科主动脉夹层瘤成功救治,是我院胸痛中心建设及成立以来、经绿色通道救治成功的又一例主动脉腔内修复术的救治典范,是胸痛中心建设的重要成果,胸痛中心建设无止境!
- 上一个文章: 听力基因检测的临床应用
- 下一个文章: 肿瘤外科顺利完成一例肝门部复杂肿瘤切除术
甘公网安备 62100002000153号