今天是:

您现在的位置: 庆阳市人民医院 >> 医院新闻 >> 科室动态 >> 正文
科室动态

经皮选择性支气管动脉栓塞术成功救治大咯血患者

作者:王鸿雁 来源:呼吸科 点击数: 更新时间:2020/3/30 11:11:01



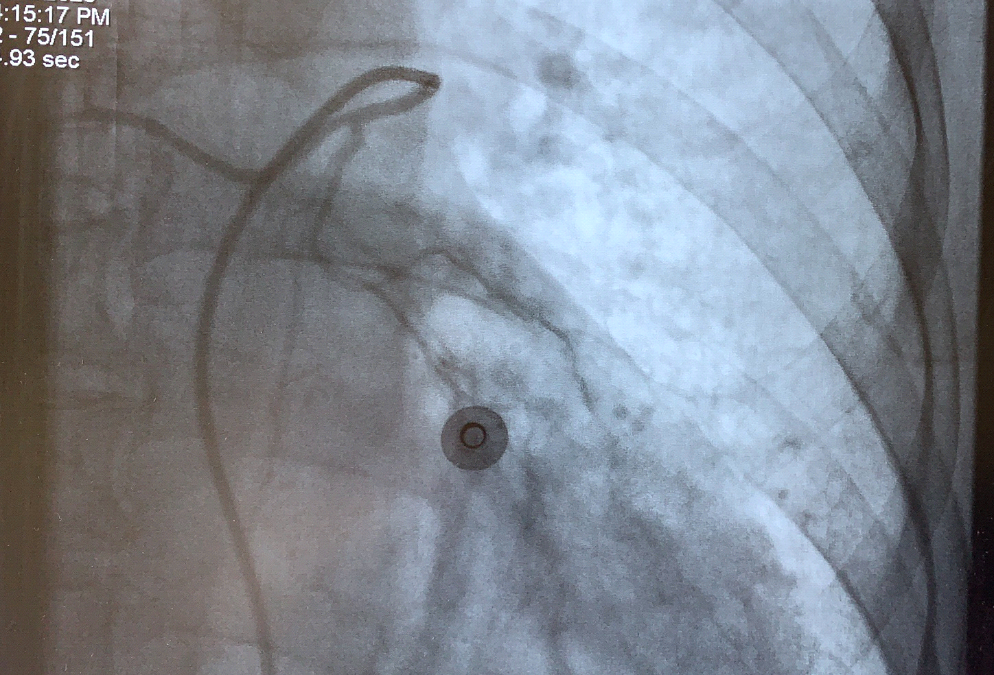
3月29日,我院呼吸科完成一例复杂支气管动脉栓塞术,成功救治一名大咯血患者。

患者黄某,66岁女性,因“间断咯血4小时”收住我院呼吸科。入院后积极完善相关检查,胸部CT提示:右肺下叶少许炎性渗出。患者反复出现咽痒、咳嗽、咳鲜红色血,24小时总计约600ml,经多种内科药物止血治疗后未见明显好转,活动性出血依然存在。经科室与放射科联合会诊,考虑支气管动脉出血引起咯血,决定急诊行“经皮选择性支气管动脉造影+栓塞术”。因手术过程中存在大咯血窒息的风险,与患者及家属积极沟通,一致同意接受该手术治疗。

为保证手术安全成功实施,我院呼吸内科负责人带领科室专业团队,经过缜密的讨论分析和全面的安排部署,在放射科的积极配合下,制定了科学的救治方案。

患者被送入介入治疗室,术中造影发现双侧支气管动脉细小分支均破裂出血,予以选择进入后栓塞血管床,栓塞完后造影支气管动脉远端未见显影。术后患者未再咯血,无特殊不适,无并发症,手术成功。

据统计,大咯血患者中,出血点在支气管循环的占90%,肺循环者仅占10%。肺部受支气管动脉和肺动脉的双重血供,两套循环系统间互相调节、补偿。当支气管动脉栓塞后,一般不会引起支气管与肺组织的坏死,这就为支气管动脉栓塞术治疗大咯血提供了理论依据,目前该方法在临床已得到了广泛应用。

支气管动脉栓塞术适用于任何急性大咯血或反复大量咯血(一次咯血量≥200ml),经治疗无效或术后复发的患者,如支气管扩张症所致的大咯血、肺结核咯血、肺肿瘤咯血、肺部血管畸形咯血,怀疑出血来自支气管动脉,无血管造影禁忌症者均可考虑行支气管动脉栓塞治疗。对于以下患者尤其适用:1.双侧病变或多部位出血的患者;2.心、肺功能较差,不能耐受手术的患者;3.晚期肺癌侵及纵隔和大血管者。